
Slut med pladsmangel, overbid & skæve tænder:
- Resultatet er både tiden og pengene værd...
Som voksen har Christian været ked af både overbid og pladsmangel, som gav skæve tænder. Et ikke ret vellykket forsøg på at rette tænderne i barndommen hjalp ikke videre. Så i en alder af 30 år besluttede han sig for at gøre noget ved det og kontaktede Aalborg Tandplejeteam.
Nu 3 år efter er det slut med pladsmangel, overbid & skæve tænder. - Resultatet er både tiden og alle pengene værd, siger Christian.
Skæve tænder pga. pladsmangel
- I 2007 kom jeg til Aalborg Tandplejeteam med mine skæve tænder og mit ønske om at få dem rettet. På klinikken viste det sig hurtigt, at Christians tænder led under pladsmangel, og at det bidrog til flere skæve tænder.
Helhedsplan med stop-muligheder
- Der blev lavet en helhedsplan, der begyndte med, at der skulle trækkes to tænder ud for at skabe plads til resten. - En ideel måde at gøre det på, fordi der var flere mulige stop undervejs, hvis jeg ikke ville gå "hele vejen".
Styrede selv og valgte selv
Med helhedsplanen kunne Christian selv styre og vælge. - Jeg valgte nu at tage det hele med og oven i købet lidt til. - Jeg fik til sidst bleget alle tænder, skiftet en gul facade på en fortand og skiftet nogle misfarvede plomber, fortæller den nu 33-årige aalborgenser.
Det handler om at være velplejet og soigneret
For Christian er tænderne en meget væsentlig del af at være velplejet og soigneret, og lægger ikke skjul på, at det omfattende projekt for ham alene var forfængelighed. Hans tænder fungerede efter hensigten inden de blev rettet og bleget, og han havde heller ingen smerter eller andre gener.
- Men jeg har et udadvendt job, hvor jeg taler meget med mange mennesker, og mest af alt havde jeg lyst til at gøre det for mig selv.
Flotte tænder krævede lidt ekstra
Ekstra arbejde i weekender, ferier og efter normal arbejdstid i et års tid og tre år med bøjle på tænderne var "prisen" for Christians smil med nu helt lige, perfekte og velplejede tænder. - Man vænner sig ret hurtigt til bøjlen og de såkaldte togskinner i munden, fortæller Christian. - Der var heller ingen omkring mig, der kritiserede eller undrede sig over min beslutning, fortæller manden med de fantastiske tænder.
Ville gøre det igen
Ikke at han fra begyndelsen af projektet vidste, at det ville vare tre år at få de tænder, han nu er så glad for. Men i mål med projektet siger han, at han uden at blinke ville gøre det igen. At resultatet er både tiden og alle pengene værd.
I trygge og gode hænder hos Charlotte Nyby
Jeg har hele tiden følt mig tryg og i gode hænder hos tandlæge Charlotte Nyby, der er meget præget af både stor interesse for sit arbejde og store faglige krav til sig selv. Hun kan være stolt af det arbejde, hun laver på sine patienter, ligesom det øvrige personale er professionelt og skaber en god stemning i klinikken, så man aldrig er utryg ved det, man er i gang med, slutter Christian.
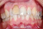
| Før og efter-billeder af Christian | ||||
![]() Før - Christians overbid og skæve tænder |
|
|
|
![]() Christian efter behandling. |
Cheftandlæge Charlotte Nyby:
Helhedsplanen giver patienten overblik og valgmuligheder
For mange patienter er det afgørende, at de får overblik over, hvordan det står til med deres tænder.
Ikke mindst lige så vigtigt at de fremadrettet får valgmuligheder, så de kan pleje tænderne og forebygge problemer, siger cheftandlæge og specialist i helhedsbehandling, Charlotte Nyby.
Det er vigtigt at kende sine tænder og sine behov - og vide hvad der kommer.
Hvordan vi arbejder, uddyber vi her på denne lille præsentation af Aalborg Tandplejeteam.
Helhedsplan - noget for dig?
Det er aldrig for sent at få gjort noget ved tænderne. Hvis det er noget, du overvejer, så lad os mødes på klinikken til en snak om tænder og helhed.
- Du kan kontakte klinikken på tlf. 98117616
- Eller bruge formularen her for yderligere information / tidsbestilling.
Husk at nævne at det vedrører Helhedsplan.
Mere om helhedsbehandlinger
Vil du vide mere om helhedsbehandlinger og tankegangen bag, så læs mere på Newholisticdentistry.com (dansk version).
Vi behandler
Hos Aalborg Tandplejeteam har vi er meget omhyggelige, og tager os god tid for, at sikre at du får den bedst mulige behandling. Det vil du opleve, når vi behandler dig.
Klik på ovenstående links for at læse mere om hvordan vi sikre smil for livet.









