"Jeg har aldrig været særlig glad for at gå til tandlægen".
Her fortæller Kate om, hvordan det var at komme til tandlægen efter 8 år:
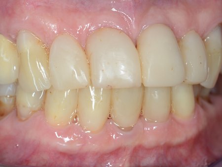
Min skræk for at gå til tandlægen blev større som årene gik, men en dag kunne jeg ikke længere undgå dem. Jeg havde fået en tandbyld som intet smertestillende kunne få bugt med, og det var jo ikke kun den tand, det var galt med. Flere af mine tænder var der hul i, og jeg manglede også nogle af dem.
På et tidspunkt var jeg på kursus, og her fik vi udleveret et stykke papir og en kuvert. Vi skulle så nedskrive noget, vi skulle have gennemført inden året var omme - det kunne være at stoppe med at ryge, løbe et maraton eller måske tabe sig. Mit var, at jeg SKULLE til tandlægen, og hvor er jeg glad for, at jeg fik den tandbyld og fik mig taget sammen til at komme af sted.
Jeg havde gennem en veninde hørt om Aalborg Tandplejeteam, og hvor gode de var til at hjælpe folk med netop mine problemer. De første gange var selvfølgelig ikke så sjove, men nu er jeg helt tryg, når jeg skal til tandlægen. Jeg ved, at jeg er i gode hænder, og resultatet.. ja det siger jo alt! Nu kan jeg igen tillade mig at smile til alle på min vej. Ja, jeg ligefrem bobler indvendig af glæde over det flotte resultat, når jeg ser mig i spejlet.
Vi behandler
Hos Aalborg Tandplejeteam har vi er meget omhyggelige, og tager os god tid for, at sikre at du får den bedst mulige behandling. Det vil du opleve, når vi behandler dig.
Klik på ovenstående links for at læse mere om hvordan vi sikre smil for livet.





