Anders smiler nu bredere end nogensinde før
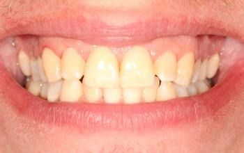
Misfarvninger på fortænderne gjorde det umuligt for Anders at vise sit smil
Den brune misfarvning er en slags "ar" efter standset caries. I princippet ikke en aktiv sygdom, men noget som havde påvirket Anders's lyst til at smile igennem en længere periode.
Behandling
Anders fik en grundig undersøgelse efterfulgt en omhyggelig tandrensning. Herefter har vi nænsomt fjernet misfarvningerne med et fint bor og erstattet med en lys plastfyldning. Ligeledes har vi lagt lidt plast på de slidte fortænder.
Resultat
Anders fik fjernet sine misfarvninger, flotte naturlige fortænder og dermed smilet tilbage!
Anders fik fjernet sine misfarvninger, flotte naturlige fortænder og dermed smilet tilbage!




"jeg har aldrig smilet så meget på billeder, som jeg gør nu" - Anders
Anders ville have sit smil tilbage!
Fakta om helhedsplan, dialog & rådgivning
- Sikrer dig fokus på større helhed
- Giver dig større indsigt og bedre beslutningsgrundlag
- Kan forebygge nye tandproblemer
Helhedshensyn fastholdes i en helhedplan, som bliver til gennem vores fælles dialog om dine tænders tilstand og dine ønsker. Mere om vores rådgivning & dialog.
Vi starter altid med at lærer dine tænder at kende, når du kommer hos os første gang.



